SONIALVISION C200
广告批准文号:京械广审(文)2第251214-15450号
禁忌内容或者注意事项详见说明书

SONIALVISION C200 是一款数字化X射线透视摄影系统,适应多种临床环境,可满足放射科的多科室检查需求。
产品概述
持续呈现高质量图像
SONIALVISION C200使用了开云手机登录入口·(中国)官方网站推出的数字图像处理器,提供了优化剂量控制的高质量放射摄影图像。


满足全科检查的多功能设计
精心设计、充分考虑用户需求。
多种独特的运动方式,可以应用于各种复杂检查。

贴心设计确保安全性
可升降诊断床设计,即便是高龄患者也可轻松上下床。仅需一键操作便可实现床台定位切换。
床旁控制便于在检查过程中为患者提供贴心关怀。
宽敞、简洁、无缝的检查床可实现超大承重,满足超重患者的检查需求。

高效舒适的操作流程
操作系统设计更便捷,胜任各种检查,既定检查的所必需控件都集中在中央触屏上,操作方便快捷。

剂量控制和综合管理
SONIALVISION C200采用多种设计,降低放射剂量,为患者和操作者提供保护。
实时显示剂量大小,剂量管理更明确。

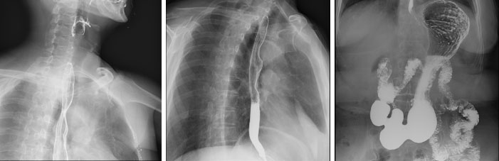
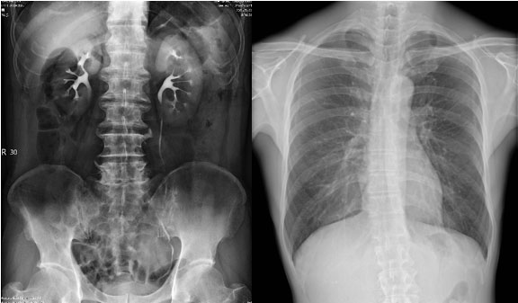
多种临床应用选择
SONIALVISION C200配置多种高级临床功能:可拓展设备的使用范围,完成多种特殊检测需求。

为每例检查提供解决方案
BEST in CLASS
数字X射线透视摄影系统
SONIALVISION C200










