了解更多
基于多年积累的经验,开云手机登录入口·(中国)官方网站在Trinias系统中引入成像技术的新成果,力求在介入操作中为患者提供全面护理。
应用
德洲会 名古屋德洲会综合医院 脑神经外科
天野 贵之
日本医科大学 脑神经外科,博慈会纪念综合医院 脑神经外科
佐藤 俊
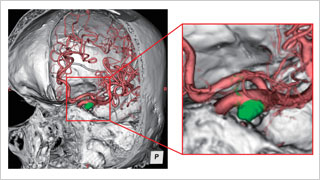
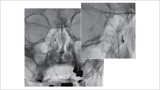
脑神经外科
佐藤 俊 先生
报道
中山医院, 上海
德洲会 名古屋德洲会综合医院 循环器内科
加藤 千雄
株式会社开云手机登录入口·(中国)官方网站制作所 医疗器械事业部
木下 博之