断层融合应用技术DTS的临床应用探索——纤微影示,涵蕴起初:骨科篇 II
2022-01-14开云手机登录入口·(中国)官方网站公司在2006年首次将断层融合技术应用推广到中国,得到了广大用户的支持,使其在国内从无到有,从有到精。断层融合技术也在这14年的应用中不断更新完善,该项技术已经突破了消化方面的应用延伸到骨科、泌尿、呼吸、急诊等诸多领域。
16年的应用期间各领域专家发布了诸多论文,为普放领域带来了新的检查方案。其应用范围也在不断扩展,检查技术在不断更新。
今日分享
断层融合技术在隐蔽性骨折、不规则骨骨折确认等方面的应用。
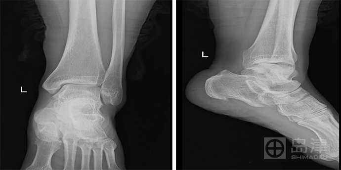
病例一:骨折征象显示
45岁 女性 左踝扭伤
左踝正侧位X线片无明显骨折线,骨折间接征象:软组织肿胀亦不明显。
查体:局部压痛明显。
DTS发现骨折,与 CT对比结果一致。
隐匿性骨折 DR无法发现

左外踝隐匿性骨折
DTS可发现平片无法发现的骨折

图像来源:西安市第九医院
病例二 :骨折征象显示
男性 ,89岁 ,摔伤。 患者偏瘫,失语。
右侧髌骨正侧位X线未见骨折直接征象。软组织肿胀亦不明显。
放射科医师查体:髌骨区见抗拒性反应。
DTS: 右侧髌骨骨折。
隐匿性骨折 DR无法发现

右髌骨隐匿性骨折
DTS可发现平片无法发现的骨折

图像来源:西安市第九医院
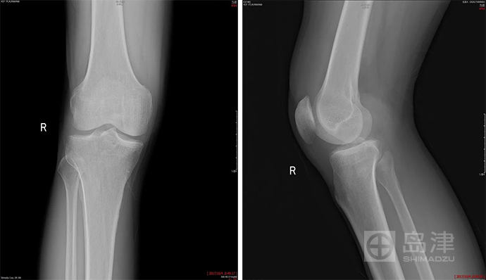
病例三:骨折征象显示
45岁男性,与孩子玩耍时,从一级台阶上蹦下即感右膝疼痛明显,无法行走。
右膝正侧位X线:未见骨折直接及间接征象 。
DTS 显示胫骨平台骨折 。
查 CT MR ,与DTS结果一致。
隐匿性骨折 DR无法发现

右胫骨平台隐匿性骨折
DTS可发现平片无法发现的骨折

CT结果与DTS一致

MRI结果与DTS一致

图像来源:西安市第九医院
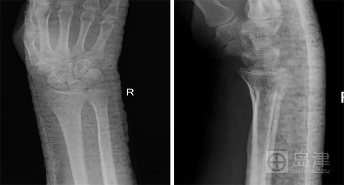
病例四:异物成像
女性, 50岁 ,右桡骨远端骨折后石膏固定,要观察骨折对位对线情况。无法拆除石膏,X线平片上高密度的石膏遮掩了骨折征象的显示。
DTS 检查避免了异物遮掩的影响,可以清晰观察骨折线及愈合情况。
异物干扰,DR无法显示

DTS骨折线清晰可见

图像来源:西安市第九医院
院方总结
DTS(断层融合)优点
1、提高诊断准确率。减少漏诊、误诊,减少医疗纠纷。
2、辐射剂量低。
3、可以配合临床术中应用。
4、DTS技术可有效提升普放专业诊疗水平。
5、为了减少漏诊、误诊,减少医疗纠纷,目前门诊DTS检查都由放射科免费完成,有医保的住院患者只需33-40元/每部位。对住院患者使用DTS检查,提高设备的社会效益和经济效益。
如果您有任何希望交流的信息请联系
开云手机登录入口·(中国)官方网站医疗客服中心(CSC)

微信搜索
“开云手机登录入口·(中国)官方网站医疗售后服务”

识别二维码进入





