纤微影示,涵蕴起初 — 急诊篇 二

2024-04-16

  

病例分享:断层融合技术在急诊骨折方面的应用。

  断层融合可以分辨出不规则骨骼的骨折情况,可以增加对骨质疏松病人的诊断能力。


  病例一:女,25岁。左足被电动车砸伤。

通过断层融合图像分析,为楔骨骨折。


  
  病例二:女,31岁。右手摔伤。

通过断层融合图像分析,为豆状骨骨折。


  
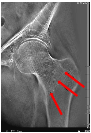
  病例三:男,85岁。左髋摔伤6小时。
  


  患者具有严重的骨质疏松,断层融合能够清晰的显示骨小梁不连续的情况,对诊断有很大的帮助。


  病例四:男,35岁。摔伤入院。
  


  断层融合能够清晰显示腰椎横突骨折。


  病例五:男,37岁。胸部外伤。
  


  断层融合能够清晰显示肋骨骨折。
  

断层融合在骨科检查的作用

  1、增加对不规则骨骼的显示能力。
  2、骨小梁显示能力强。
  3、不需要移动病人,避免二次伤害。

按年份查看