纤微影示,涵蕴起初——急诊篇(一)
2024-03-07
病例分享
断层融合技术在食道异物方面的应用。
小儿各种不慎原因可导致支气管异物的发生,断层融合可以较为容易地发现异物所在支气管的位置,从而有助于临床科室进行异物取出的操作定位。
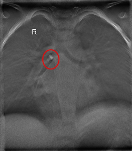
病例一:
![]() 断层融合提示侧支气管分叉处可见一高密度影 |
![]() 异物为火腿肠外包装 |
病例二:
![]() 7岁儿童断层融合提示侧支气管分叉处可见一高密度影 |
![]() 异物为塑料笔头 |
病例三:
![]() 3岁儿童断层融合提示侧支气管分叉处可见一高密度影 |
![]() 异物为花生 |
断层融合在气管异物检查的作用:
1、可以根据层高进行反复重建,适应不同年龄的病人。
2、高密度分辨率有助于低密度异物的显示。











