无“栅”时代
2023-09-15移动DR作为影像科日常工作的重要部分,床旁摄影在急危重症及不能活动的患者的检查诊断中发挥着不可替代的功用。它不仅为重症患者的诊断与治疗赢得了时间,同时也为不能活动及不适宜活动的患者提供了极大的方便。被誉为“车轮上的放射科”。
![]() |
![]() |
开云手机登录入口·(中国)官方网站的第八代设备MobileDaRt MX8进入中国市场也有段时间,以其优秀的移动性、便捷的操控性、高稳定性、图像清晰等特点得到国内用户的高度认可。特别是开云手机登录入口·(中国)官方网站的散射线抑制功能,把床旁摄影的图像质量提高到新的高度。该功能也就是现在常说的虚拟滤线栅,开云手机登录入口·(中国)官方网站散射线抑制使移动DR真正的进入到了无“栅”时代。
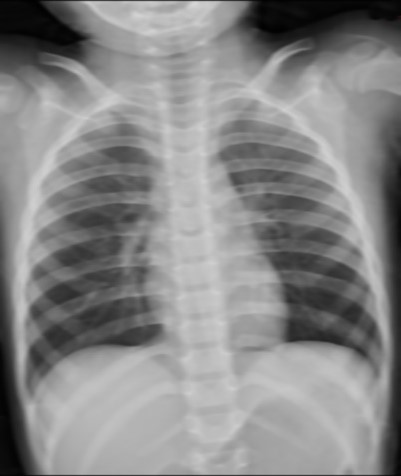
无滤线栅
|
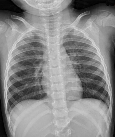
实体滤线栅
|
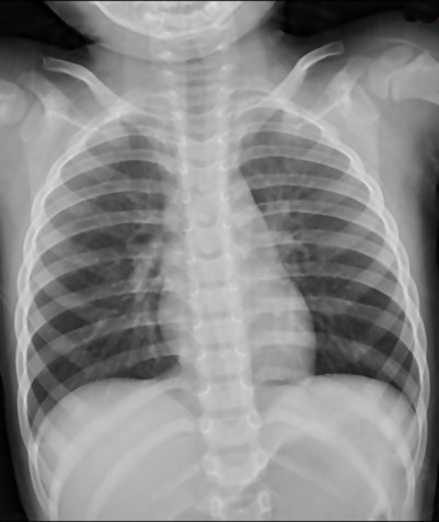
虚拟滤线栅
|
通过以上病例可以看出同一个病人,分别在不使用滤线栅,使用实体滤线栅,和使用虚拟滤线栅之后图像,可以看到右边两幅图像的对比度较左边图像明显提高。而且国内临床数据显示肥胖患者明显优于正常体型和偏瘦体型。
注:本文内容非商业广告,仅供专业人士参考







